|
전악임플란트 |
|---|
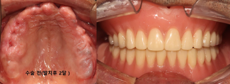
나이가 들면서 전체 치아가 흔들리거나 손상되어 발치 후 전체 임플란트(전악 임플란트)가 필요한 경우가 많아요. 특히 만 65세 이상 환자분들은 평생 1인당 2개까지 임플란트 건강보험 혜택이 적용되니 꼭 확인해 보세요! 이번 증례는 심각한 잇몸 질환으로 모든 치아를 상실한 60대 환자분께서 정교한 맞춤형 전악 임플란트를 통해 건 강한 미소와 저작 기능을 회복한 과정입니다. CASE. 60대 남성 환자, '전체 치아 흔들림'으로 내원 "전체 치아가 흔들리고 아파서 임플란트를 하고 싶어요." 여러 치과를 알아보시던 중, 지인의 소개로 저희 병원을 찾아주셨습니다. 처음부터 전악 임플란트를 염두에 두고, 풍부한 임상 경험을 가진 의료진을 찾고 계셨습니다. 정밀 진단 결과 구강 검진 및 CT 촬영 결과, 환자분의 상태는 매우 심각했습니다. * 구강 상태: 위아래 모든 치아가 심하게 흔들리고, 치아 뿌리가 노출될 정도로 잇몸 조직이 붕괴된 상태였습니다. * CT 및 파노라마 소견: 치아를 지지해야 할 잇몸뼈(치조골)가 염증으로 인해 대부분 소실되어, 치아들이 뼈 속에서 떠 있는 '부유치(floating tooth)' 상태였습니다. 자연치아를 최대한 보존하는 것이 원칙이지만, 이미 치아 뿌리 끝까지 염증이 퍼져 회복이 불가능했습니다. 환자분께 상태를 자세히 설명드린 후, 전체 발치 및 전악 임플란트 계획을 수립했습니다. ![]() ![]() 개인별 맞춤 치료 계획 환자분의 구강 구조와 심미성을 고려하여 아래와 같이 맞춤형 치료 계획을 세웠습니다. * 상악 (윗니): 6개의 임플란트 식립 후 '임플란트 지지 부분틀니 (IARPD)' 붕괴된 앞니 잇몸과 입술의 볼륨감을 심미적으로 회복시키기 위해, 어금니는 임플란트 고정성 보철로 단단히 잡아주고 앞니는 틀니의 잇몸 부분(flange)을 이용해 자연스러운 외모를 재현하는 방식입니다. * 하악 (아랫니): 8개의 임플란트 식립 후 전체 ‘고정성 보철' 전체 치아를 임플란트와 보철물로 단단하게 고정하여 본래 치아처럼 편안하게 사용하는 방식입니다. 치료 과정 1. 발치 및 잇몸 회복 모든 치아를 발치한 후, 염증이 완전히 사라지고 잇몸이 안정될 때까지 약 2개월간 기다렸습니다. 이 기간 동안 환자분의 식사와 심미성을 위해 임시 틀니를 제작해 드렸습니다. ![]() 2. 정확하고 안전한 임플란트 식립 - 상악수술: 잇몸뼈가 얇아 고난도 수술인 상악동 거상술을 동반하여, 계획된 위치에 정확하게 6개의 임플란트를 식립했습니다. 충분한 마취와 정교한 수술, 그리고 숙련된 봉합으로 환자분의 불편감을 최소화하고 빠른 회복을 유도했습니다. ![]() - 하악수술: 최종 보철물의 형태와 기능을 고려하여 적절한 간격과 위치에 8개의 임플란트를 완벽하게 식립했습니다. ![]() 3. 뼈 유착 및 2차 수술 임플란트가 뼈와 단단히 붙는 약 3~4개월 동안 임시 틀니를 사용하며 기다립니다. 이후 모든 임플란트의 ISQ 수치(임플란트 안정성 지수)가 양호한 것을 확인하고, 잇몸 밖으로 임플란트를 노출시키는 간단한 2차 수술을 진행했습니다. ![]() 4. 임시 보철 및 최종 보철 준비 현재는 최종 보철물을 올리기 전, 임시 보철물(PMMA)을 사용하여 환자분이 적응하는 단계를 거치고 있습니다. 임플란트가 완벽하게 식립되었기 때문에 성공적인 최종 결과가 기대됩니다. 전악 임플란트는 단순한 치아 보철을 넘어, 무너진 식생활과 자신감을 회복하는 중요한 치료입니다. 이백점치과는 최소한의 임플란트 식립으로 통증과 불편을 줄이면서도 안정적이고 심미적인 결과를 추구합니다. 풍부한 임상 경험과 높은 환자 만족도로 증명된 실력으로, 치아가 전혀 없는 분들도 다시 편안한 식사와 활짝 웃는삶을 되찾을 수 있습니다. 당신의 현명한 선택, 이백점치과와 함께하세요. |
|
이전글
|
|
다음글
|
