|
앞니 당일크라운 |
|---|
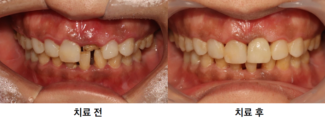
갑작스러운 앞니 손상으로 고민이신가요? 이백점치과에서는 당일 임플란트 식립부터 임시치아 장착까지 가능하여, 환자분들이 하루 만에 자신감 있는 미소를 되찾으실 수 있도록 돕고 있습니다. CASE. 50대 여성 환자 "말하는 직업이라 앞니가 시급해요!" 50대 여성 환자분께서 부러진 앞니로 내원하셨습니다. '말하는 직업' 특성상 당일 앞니 회복을 간절히 희망하셨죠. 뿌리까지 손상된 앞니는 발치 후 임플란트 식립이 필요했기에, 이백점치과는 당일 임플란트 식립 및 임시치아 완성을 원칙으로 치료에 임했습니다. ![]() 왜 앞니는 '당일' 치료가 중요할까요? 어금니 임플란트는 뼈 유착을 위해 수개월의 대기 기간이 필요하지만, 앞니는 다릅니다. 앞니는 발음과 심미성을 담당하는 중요한 부위로, 오랜 기간 비어있는 것은 심리적, 사회적 불편함을 야기합니다. 이백점치과는 정확한 각도로 임플란트를 심어 초기 고정력을 확보하는 숙련된 기술력을 통해 당일 즉시 임시치아(원데이 보철)까지 완성해 드립니다. 과거처럼 기다리거나 불편한 임시 틀니를 사용하지 않고 즉시 심미성을 회복하실 수 있습니다. 이백점치과의 '당일 임플란트 & 임시치아' 과정 1. 발치 및 즉시 임플란트 식립: 손상된 앞니 발치와 동시에 임플란트(fixture)를 뼈에 정확히 식립합니다. 2. 중간지대주 연결: 식립된 임플란트 위에 기둥 역할을 하는 중간지대주(abutment)를 단단히 연결합니다. 3. 당일 임시치아 장착: 환자분께 꼭 맞는 임시치아(crown)를 당일에 제작하여 연결, 자연스러운 앞니를 완성합니다. ![]() 사회생활에서의 앞니 고민은 이제 그만! 웃을 때나 대화할 때 가장 먼저 눈에 띄는 앞니! 갑작스러운 문제로 인해 사회생활에 어려움을 겪으실까 염려되신 다면, 더 이상 고민하지 마십시오. 이백점치과는 풍부한 임상 경험과 섬세한 기술력을 바탕으로 당일 임플란트 수 술과 임시치아 장착을 통해 환자분들의 편안함과 만족을 최우선으로 생각합니다. 여러분의 자신감 넘치는 미소를 이백점치과에서 신속하게 되찾아 드리겠습니다. |
|
이전글
|
|
다음글
|
